Aprenderemos a entender la estructura dentaria de los dientes naturales y con ello saber aplicarlo con las masas de la cerámica VITA LUMEX AC, ya sea sobre una estructura de Circonio, como sobre una estructura de Disilicato obteniendo un mismo resultado.También en este curso conseguiremos saber elegir qué tipo de material a utilizar y en qué casos, tanto para VITA AMBRIA HT como VITA AMBRIA T, conociendo su protocolo de trabajo y técnicas de acabado en monolíticas.

Luis Pinela
Luis Pinela
PARQUE DAS NAÇOES SUL
PT-1990-136 LISBOA
l.pinela@vita-zahnfabrik.com
+351 966235366
Cerámica de recubrimiento – VITA LUMEX® AC / VITA AMBRIA®
DIENTE NATURAL ¡¡¡ GRAN ECUACIÓN !!!
VITA LUMEX® AC
Es un sistema de cerámica de recubrimiento altamente estética para todos los materiales de estructuras de cerámica sin metal de uso habitual. Destaca por su fidelidad cromática óptima, su dinámica lumínica excelente y su manipulación fiable y eficiente.
VITA AMBRIA®
Es un sistema de cerámica prensada altamente estético que proporciona resultados naturales y expresivos. Además de por su extraordinaria fidelidad cromática y su excelente dinámica lumínica, la cerámica prensada se caracteriza también por su proceso de trabajo eficiente.
Objetivo del curso
Contenido
Se realizaran:
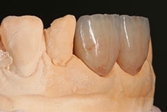
Dos centrales estratificados con cerámica VITA LUMEX AC, uno sobre una estructura de circonio y otra sobre disilicato.
Aparte, inyectaremos de forma monolítica, una carilla, una incrustación y una corona. Trataremos su textura y aprenderemos técnicas para conseguir efectos con los VITA AKZENT Plus.
Ponente

Duración del curso
Tasa de inscripción
550 + IVA = 665,5€
Duración y horarios del curso
15 horas.
Viernes: 15:30 a 20:30 Sábado: 9:00 a 14.00 y 15:00 a 20:00.
Parece que de momento Ud. se encuentra en Estados Unidos.