СШАПохоже на то, что Вы находитесь сейчас в США.
Подтвердить
Выбрать другую страну
Masterpiece Björn Czappa
Masterpiece Björn Czappa 2
Masterpiece Björn Czappa 3
Czappa, Björn

Master Dental Technician Björn Czappa

Гипсовая модель исходной ситуации пациента.

При предыдущем лечении клыка, 23 зуб был удален и замещен реставрацией, в которой 23 зуб не был принят во внимание. Это привело к потере объема и симметрии.

Клинический случай

Изготовление мостовидного протеза во фронтальном участке: каркасный материал VITA YZ, Облицовка VITA VM 9

Initial situation
Initial situation

Исходная ситуация

Гипсовая модель исходной ситуации пациента.

При предыдущем лечении клыка, 23 зуб был удален и замещен реставрацией, в которой 23 зуб не был принят во внимание. Это привело к потере объема и симметрии.

Wax-up
Wax-up

Wax-up

Восстановление полной симметрии и искусственное наращивание объема десны.

Zirconia framework
Zirconia framework

Циркониевый каркас

Циркониевый каркас полностью повторяет восковую модель с компенсацией дефекта кости.

anterior bridge labial view
anterior bridge labial view

Лабиальный вид

Лабиальный вид законченной реставарции.

Palatal view of the anterior bridge
Palatal view of the anterior bridge

Палатальный вид

Палатальный вид законченной реставарции.

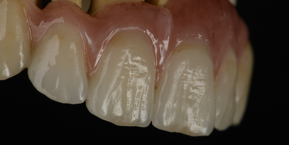
Surface texture
Surface texture

Текстура поверхности

Детали текстуры поверхности.

Final result
Final result

Конечный результат

Restoration in situ
Restoration in situ

Завершенная реставрация в полости рта

To VITA VM®9

Натуральная мелкодисперсная керамика

Zu VITAVM®9

To VITA YZ® SOLUTIONS

Cистемное решение для точных, эффективных и соответствующих цвету естественных

Отправить запрос продавцу продукции VITA

Найти ближайшего к вам продавца продукции VITA.
Найти