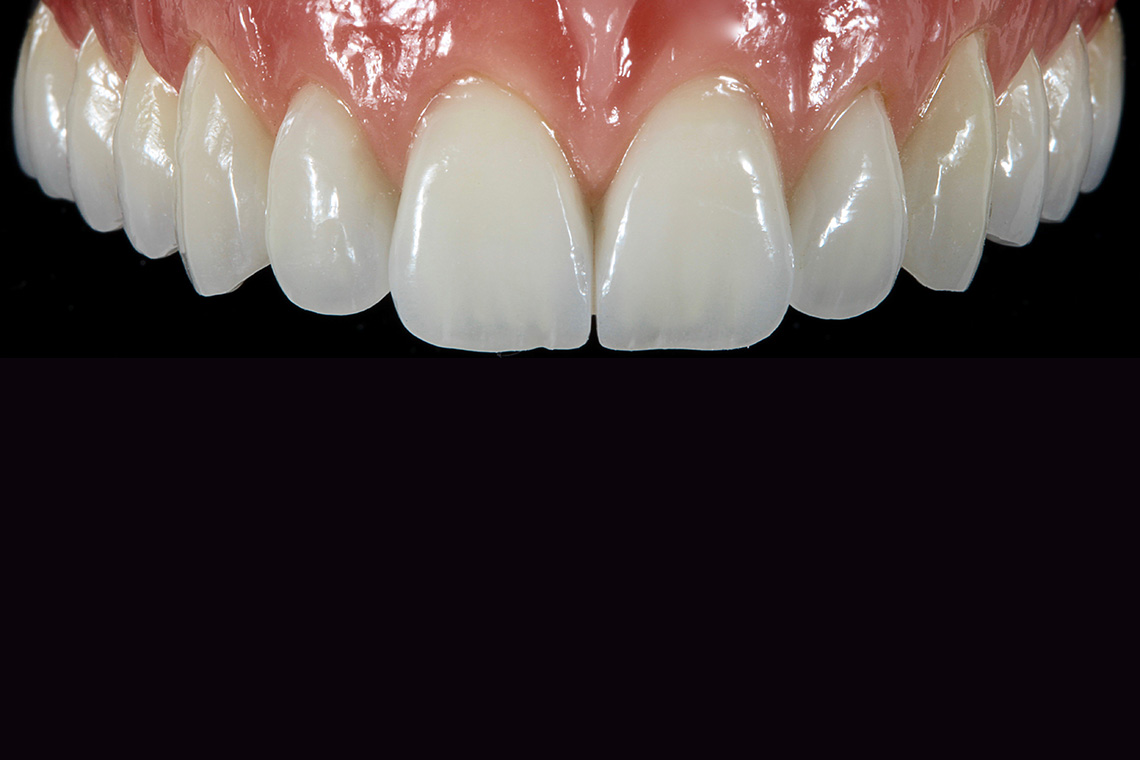
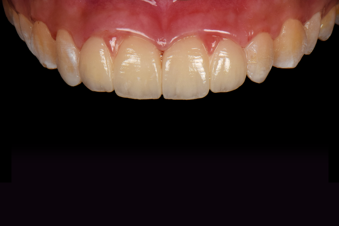
Un unico materiale offre così tante possibilità: casi clinici con VITA LUMEX AC

VITA LUMEX AC è incredibilmente versatile. La ceramica di rivestimento funziona su disilicato di litio, biossido di zirconio, ceramica feldspatica e perfino titanio. E' indicata per rivestimenti totali o parziali, per microfaccette, nonché restauri privi di materiale strutturale come ad es. faccette o inlay stratificati. Che si tratti di sofisticate opere d'arte o efficiente estetica, con un'unica o meglio più cotture VITA LUMEX AC consente risultati sorprendenti in sicurezza.


Scopri le possibilità offerte dalla ceramica di rivestimento VITA LUMEX AC. Leggi i casi clinici risolti dai tuoi colleghi che usano con successo questo materiale.

Biossido di zirconio: VITA LUMEX AC su VITA YZ

Marcio Breda
Odontototecnico Master
Vitória, Espírito Santo, Brasile

Stratificazione efficiente per un'implanto-protesi altamente estetica

Sofiane Ouazene
Odontotecnico
Algeri, Algeria

Elevata estetica con la tecnica One-Bake

Dott. Jorge Carro Juárez
Odontoiatra e odontotecnico Panotla
Tlaxcala, Messico

Quali sono i vantaggi della ceramica di rivestimento estetico VITA LUMEX AC? Risposte direttamente dal lavoro quotidiano in laboratorio!

Disilicato di litio: VITA LUMEX AC su VITA AMBRIA

Prof. Knezović Zlatarić Dubravka
odontoiatra
Zagreb, Croazia

Riabilitazione estetica individualizzata sul settore frontale

Luis Miguel Vera
Odontoiatra

Un preciso flusso di lavoro senza compromessi per la riproduzione ceramica

Abdelhalim Faris
Odontoiatra
Mansura, Egitto

Ottenere due denti da uno solo: una trasformazione magica grazie a VITA AMBRIA e VITA LUMEX AC

Titanio: VITA LUMEX AC su strutture in titanio

Tsai-Lien Shih
odontotecnico e
Direttore tecnico
Changhua, Taiwan

VITA LUMEX AC: Stabilità di cottura universale per strutture in titanio ad ampia campata

Tsai-Lien Shih
odontotecnico e
Direttore tecnico
Changhua, Taiwan

VITA LUMEX AC: Alta estetica su titanio e su tutte le altre strutture ceramiche

Tamer Al Haddad
odontotecnico
Al Ain, EAU

VITA LUMEX AC nella protesi implantare: ceramica di rivestimento estetico armonica su ampie strutture in titanio

Ceramica feldspatica: VITA LUMEX AC su VITABLOCS

Dott. med. dent. Julio Gomez Paris
Dentista e odontotecnico
Rosario, Argentina

Ceramica feldspatica VITABLOCS Mark II come struttura di laboratorio altamente estetica e precisa

VITA LUMEX AC come restauro privo di struttura

Marcio Breda
Odontototecnico Master
Vitória, Espírito Santo, Brasile

Riproduzione individualizzata del gioco di colori in situazioni di spazio limitato

Affermazioni di utilizzatori su VITA LUMEX AC

„VITA LUMEX AC è un materiale molto moderno! Lo uso per il rivestimento estetico di titanio. Con altri materiali ciò è spesso difficile. VITA LUMEX AC è semplice, il risultato eccellente. E' facile da lavorare, presenta poca retrazione. Il risultato è veramente sorprendente.“

Tamer Al Hadad, odontotecnico, Emirati Arabi Uniti, Abu Dhabi, 5/22

„VITA LUMEX AC è una delle ceramiche a basso punto di fusione più stabili, che abbia mai usato. Il materiale è estremamente stabile per quanto riguarda colore e forma, anche dopo 5 cotture. E' meravigliosa e supera tutti gli ostacoli delle altre ceramiche a basso punto di fusione.“

Benny Au Yeung, Hong-Kong

„VITA LUMEX AC ha una scelta molto ampia di masse Gingiva, che mi consentono di risolvere casi altamente estetici. La possibilità di creare tonalità calde è perfetta per noi asiatici. Ad oggi ho riscontrato questa caratteristica solo con VITA LUMEX AC, ed è questa a rendere il materiale così unico.  L'ampia gamma di indicazioni copre praticamente tutti i miei casi. Il legame col titanio è incredibile.“

Tsai-Lien Shih, odontotecnico e Direttore tecnico, Changhua, Taiwan, 05/22

„VITA LUMEX AC offre tutto quello che mi serve: riproduzione precisa del colore, elevata stabilità di cottura e superfici superlative.“

Od. Hubert Karbowiak, Poznan, Polonia, 08/19

„VITA LUMEX AC convince per il buon equilibrio tra traslucenza e cromaticità, e a livello intraorale presenta uno splendido gioco di colori/luci, senza risultare grigia.“

Od. Marcio Breda, Vitória, Espírito Santo, Brasile, 08/19

„VITA LUMEX AC convince per il buon equilibrio tra traslucenza e cromaticità, e a livello intraorale presenta uno splendido gioco di colori/luci, senza risultare grigia.“

Odontotecnico Master Éric Berger, Metz, Francia, 08/19

„VITA LUMEX AC consente risultati particolarmente estetici, predicibili ed è indicata per la stratificazione su tutti i correnti materiali strutturali ceramici.“

Od. Mike Prosperino, Monte Sant’Angelo, Italia, 08/19

„La ceramica VITA LUMEX AC è molto stabile e quindi può essere modellata con straordinaria precisione.“

Odontotecnico Master Jürgen Freitag, Bad Homburg, Germania, 08/19

Abbiamo risvegliato la tua curiosità? Allora continua a leggere:

Il valore aggiunto di VITA LUMEX AC

Storie di successo di colleghi