Dental care at eye level

On this page, fellow professionals will inspire you with intriguing case reports documenting the variety of application scenarios possible using VITAPAN EXCELL denture teeth.

From partial dentures and highly esthetic challenges, to comprehensive implant denture restorations, VITAPAN EXCELL meets all your requirements. You too can be a hero for your patients. Happy reading!

To the case.
Analogs were screwed on to the healed implants and impression caps positioned on the analogs.

INITIAL SITUATION: Analogs were screwed on to the healed implants and impression caps positioned on the analogs.

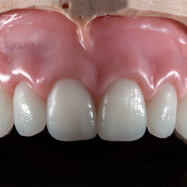
RESULT: Finally, when opened slightly, it was possible to see a harmonious incisal edge gradient.

RESULT: Finally, when opened slightly, it was possible to see a harmonious incisal edge gradient.

Fixed implant bridges on edentulous jaws are a real challenge, even for denture teeth. The force-absorbing characteristics of the periodontium are missing in the case of implants, which are rigidly anchored in the bone. As a result, they are subject to considerably greater forces. Due to the underlying substructure, the denture teeth must often be milled to a significant degree, yet still remain stable and maintain shade fidelity. The VITAPAN EXCELL anterior tooth set and all other VITA premium teeth are fabricated from highly cross-linked VITA MRP (Microfiller Reinforced Polymer Matrix) composite, which allows for a high level of abrasion stability, given the strong forces acting on implant restorations.* In the following case study, master dental technician Maximilian Götsch (Ravensburg, Germany) shows how robust and highly esthetic implant-retained dentures can be achieved using VITAPAN EXCELL.

The correct teeth had been chosen from among the wide range of shades and moulds available with VITAPAN EXCELL, making it possible to restore the patient’s age-appropriate and natural smile.

Maximilian Goetsch, Master Dental Technician, Goetsch Zahntechnik GmbH, Ravensburg, Germany

1. Initial clinical situation

2. The natural setup

3. Substructure in the digital workflow

4. Adapted range of materials

5. Controlled premium esthetics

Image source: Photo documentation by Marita Heeren, Oldenburg, Germany.

Publication in Quintessenz Zahntechnik magazine, 1/18, available via www.quintessence-publishing.com

To the case.
73-year-old patient was unhappy with the stability of his full denture restoration.

INITIAL SITUATION: A 73-year-old patient presented at our practice because he was unhappy with the stability of his full denture restoration.

The finished and polished total prosthetic work.

RESULT: After finishing and polishing were completed, the full denture restoration already had a very natural appearance outside of the mouth.

Full dentures can appear unnatural if the teeth are too youthful in terms of shape and shade, or if a stereotypical setup is also used. Removable dentures that not only restore occlusal function, but also go unnoticed by others, can play a significant part in helping patients overcome the challenges of tooth loss.1 The goal should always be to accommodate the personality and wishes of the patient, rather than perceived beauty ideals. In other words, even long-standing anomalies of the jaw should be functionally integrated into the setup to achieve the most acceptable result possible.2 In the case of the winner of the VITA EXCELLENCE AWARD 2023, dentist Dr. Iris Kraljevic (Zurich, Switzerland) and master dental technician Fernando Pasamontes (Zug, Switzerland) show how the extensive selection of shapes and shades offered by the VITAPAN EXCELL anterior tooth range, the multifunctional VITAPAN LINGOFORM posterior tooth range, and the light-curing stains of VITA AKZENT LC (all from VITA Zahnfabrik, Bad Säckingen, Germany) can be used to create highly customized full denture solutions for patients.

VITAPAN EXCELL restored the desired personality and function for the patient

Dr. Iris Kraljevic, Dentist, Zahnmedizinisches Zentrum Zürich Nord AG, Zurich, Switzerland

1. The clinical case

2. Determination of maxillo-mandibular relationship

3. Model analysis and setup

4. Implementation and individualization

5. Integration and conclusion

To the case.
INITIAL SITUATION: Extraorally, the old dentures showed esthetic and functional deficits in occlusion.

INITIAL SITUATION: Extraorally, the old dentures showed esthetic and functional deficits in occlusion.

RESULT: The new full denture restoration during clinical integration.

RESULT: The new full denture restoration during clinical integration.

Full denture rehabilitations are highly complex. After all, it's not just about replacing an individual tooth or teeth, but the entire dental arch and substantial parts of the mucogingival anatomy that have been lost. That's why, in the case of new denture wearers, meticulous registration, measurement and analysis are necessary in order to provide a rehabilitation that is appropriate to the patient. It's a somewhat different scenario if a patient already wears dentures and is reasonably comfortable with their old restoration, in terms of function. In such cases, the Copy Denture technique allows us to build on what works well and improve what doesn't. In this article, we will demonstrate how this works, step-by -step, using the latest digital technology and analog craftsmanship. So that the right tooth can be selected, we will be using the VITAPAN EXCELL anterior tooth range (VITA Zahnfabrik, Bad Säckingen, Germany) because of its rich variety of shades and shapes. 

The three-dimensional, anatomical layering of the robust composite formulation VITA MRP (Microfiller Reinforced Polymer matrix) combined with the lifelike surface texture of the VITAPAN EXCELL anterior tooth range provided a perfectly natural-looking result. The patient literally beamed with joy during integration.

Patricia Strimb, dental technician, Zahntechnik Norbert Wichnalek HIGHFIELD.DESIGN, Augsburg, Germany

1. The initial situation

2. Copy Denture technique

3. Impression and registration

4. Articulation and virtual tooth selection

5. Setup and CAD/CAM

6. Individualization and surface finishing

7. Integration and conclusion

To the case.
INITIAL SITUATION: The unsightly front of the upper jaw before the new restoration.

INITIAL SITUATION: The unsightly front of the upper jaw before the new restoration.

RESULT: The newly created anterior tooth esthetic with VITAPAN EXCELL.

RESULT: The newly created anterior tooth esthetic with VITAPAN EXCELL.

Teeth have a significant impact on a person's wellbeing. Only those who can chew well, can also eat well. Teeth also play a major role in whether or not a person is comfortable with their appearance. Of course, these principles also apply to full dentures. In addition to detailed impressions, precise models and meticulous determination of the jaw relationship, the correct selection and setup of teeth plays a critical role in achieving the desired functionality and esthetics. The vertical dimensioning, the model analysis and facial morphology, as well as the individual taste of the patient are decisive for the right tooth selection in shape and shade. In the following case, the second-year dental trainee Alexander Scheel (Dental-Labor Hans Fuhr, Cologne, Germany) demonstrates how to use the VITAPAN EXCELL anterior set and the multifunctional VITAPAN LINGOFORM posterior set (both VITA Zahnfabrik, Bad Säckingen, Germany) to make a patient-friendly selection, and how one patient received a successfully restoration with a full denture.

Thanks to the right tooth selection in terms of shape and shade, and a well- planned setup, the patient felt comfortable and was able to laugh again.

Alexander Scheel, dental trainee, Dental-Labor Hans Fuhr, Cologne, Germany

1. The clinical case

2. Jaw relation and model analysis

3. The right tooth selection

4. Targeted setup

5. Implementation and integration

To the case.
INITIAL SITUATION: The initial situation with the patient who had been edentulous for a long time.

INITIAL SITUATION: The initial situation with the patient who had been edentulous for a long time.

RESULT: The patient was completely satisfied with the function and esthetics of her new restoration.

RESULT: The patient was completely satisfied with the function and esthetics of her new restoration.

The denture teeth used play a critical part in how quickly new, full denture restorations are accepted by patients. atients will only be satisfied with their dentures if the shade, shape and texture meet their expectations and are specifically suitable for them. The keys to success are specially developed denture teeth, such as VITAPAN EXCELL, that enable the right choice with a variety of shapes and shades, and that facilitate an age-appropriate texture simply by polishing. In the following article, Suchanun Rungrojanarak, a dentist from Surat Thani, Thailand, demonstrates how a patient who had been edentulous for some time could be successfully treated with full dentures using the VITAPAN EXCELL anterior tooth set and multifunctional VITAPAN LINGOFORM posterior teeth (both products from VITA Zahnfabrik, Bad Säckingen, Germany). 

Intraorally, the VITAPAN EXCELL anterior tooth set facilitated a brilliant play of shade and light that made the patient lookconsiderably younger. In the posterior area, VITAPAN LINGOFORM enabled balanced bilateral occlusion that provided the basis for sufficient chewing.

Suchanun Rungrojanarak, Dentist, Surat Thani, Thailand

1. Initial clinical situation

2. Initial preparation steps

3. Determining jaw relation

4. Choosing the right teeth

5. Fabrication and individualization

6. Implementation in synthetic material

7. Summary and conclusion

To the case.
The initial situation with the edentulous patient.

The initial situation with the edentulous patient.

The patient and his new teeth were in complete harmony.

The patient and his new teeth were in complete harmony.

When providing a patient with full denture restorations, the goal is to restore chewing function and phonetics Full dentures should also give the patient an esthetic appearance. Selecting the right denture tooth depends on many factors. The width of the jaw ridge and the vertical jaw relation decide which tooth dimension is suitable. At the same time, the shape of the face and often the natural initial situation must be taken into account based on old photographs. In full dentures, the patient's desired tooth shade must also be available in the selected shape. Being able to choose suitable denture teeth in the right size, shape and shade is a fundamental step for functional and esthetic success. In the following report, the dental technician Nela Zielonka (Gaworzyce, Poland) shows how she was able to master a full denture with VITAPAN EXCELL anterior teeth and VITAPAN LINGOFORM posterior teeth.

The three-dimensional anatomically layered VITAPAN EXCELL of enamel, neck and dentin material appears absolutely natural in the reproduced mucogingival anatomy of the denture base.

Nela Zielonka, Dental Technician, Greenlab, Gaworzyce, Poland

1. Initial situation and support pin registration

2. Determination of maxillo-mandibular relationship

3. Tooth selection and setup

4. Choosing the right teeth

5. Implementation and integration

To the case.
Initial situation: The esthetic appearance shows clear deficits.

Initial situation: The esthetic appearance shows clear deficits.

Result: The patient was enthusiastic about the result and the functionality of her new restoration.

Result: The patient was enthusiastic about the highly esthetic result and the functionality of her new restoration.

The new generation of active adults have extremely high expectations of restorations. They desire restorations that integrate harmoniously into their external appearance and emphasize their vitality. VITAPAN EXCELL (VITA Zahnfabrik, Bad Säckingen, Germany) is a new generation of anterior teeth that meet a number of significant expectations. The layered construction of this anterior tooth is designed in such a way that it mirrors the natural play of shades. In combination with the multifaceted surface texture, it enables restorations with an especially lifelike play of shade and light. In the following case report, Urban Christen, denturist (Hunzenschwil, Switzerland) describes the essential steps of a total prosthesis restoration with VITAPAN EXCELL.

Die Form und Oberflächenstruktur finde ich schön. Das sieht alles sehr natürlich aus!

Urban Christen, Denturist, Praxis für Zahnprothetik, Hunzenschwil, Switzerland

1. Initial situation: insufficient total restoration

A 51-year-old female patient who was dissatisfied with the esthetic appearance, chewing efficiency and phonetics of her current total denture restoration, presented at my practice. Deficits in the esthetic zone, such as the tapered incisors, which were too prominent vestibular and caudal, were immediately recognizable. It was difficult for the patient to pronounce the letter “F” with her total prosthesis. In addition, the extraoral inspection of the dentures showed significant abrasions on the denture teeth, which over time, had led to a loss of the vertical dimension. After a comprehensive consultation, the patient decided on a completely new fabrication of a full denture.

2. Precise impression: for predictable results

With prefabricated Schreinemakers trays, an initial impression with alginate was taken, in which all relevant anatomical structures were reproduced. Now the individual impression trays and bite templates could be produced on the created models. Before taking the mucodynamic impression, the trays were tried in and shortened, as needed, to ensure a secure fit. On this basis, master models were created on which the bite templates were produced. For reproducible encoding with a registration silicone, retentive elements were incorporated on both sides of the mandibular wax rim, and triangular grooves were used in the maxillary wax rim for clear centric repositioning.

3. Prosthetic result: esthetic and functional harmony

The setup was based on the registered wax rims. During the setup of the anterior maxilla, attention was paid to a round and wider shape of the dental arch, which also shifted the incisal edges considerably more cranially. Thanks to the balanced length/width ratio of VITAPAN EXCELL, the anterior tooth setup was easily accomplished by hand. In the wax try-in, the denture tooth setup harmonized with the musculature, lip line and physiognomy, and allowed for flawless phonetics. After the implementation in synthetic material, the total denture restoration was very lifelike and natural, particularly with the patient’s high smile line. To be able to achieve this result, the layered construction of VITAPAN EXCELL anterior teeth was designed to mirror the shade play of natural teeth in the form of a three-dimensional structure. In combination with the multifaceted surface texture, this new generation of anterior teeth enable dentures with a lively play of shade and light.

To the case.
he initial situation with the facial features of the patient without dentures.

he initial situation with the facial features of the patient without dentures.

The patient was satisfied with the new restoration.

The patient was satisfied with the new restoration.

For full dentures, a comprehensive selection of shades and shapes for the prefabricated teeth selected is essential in order to provide patient-friendly care. The shape of the teeth must match the gender, as well as the shape of the head and the patient's character. Lost natural teeth should be taken into account when selecting the denture teeth, and at the same time, the new space conditions on the atrophied jaw ridge should be considered. In the posterior region, the correct occlusal expansion must be found in order to fit the anatomical conditions and the patient's dental occlusion, or to change this towards a neutral bite position without losing the centric condyle position. The selected shape should also be available in the patient's desired shade. In the following, Dental Technician Yasunori Tanaka, in collaboration with Dentist Dr. Eiji Kuroki (both of Kōbe, Japan), will demonstrate how he was able to resolve a functionally challenging case with the VITAPAN EXCELL anterior set and the VITAPAN LINGOFORM posterior set (VITA Zahnfabrik, Bad Säckingen, Germany). 

1. A complex case

2. The determination of maxillo-mandibular relationship

3. The right tooth selection

4. Finishing and the result