Wie bewerten Ihre Kollegen das Material VITABLOCS und warum wenden sie es seit vielen Jahren erfolgreich an? Reisen Sie mit uns um die Welt, entdecken Sie interessante klinische Fälle mit der VITABLOCS Keramik und lesen Sie die Bewertungen Ihrer Kollegen.
Klinische Fallbeispiele und Produktbewertungen: VITABLOCS weltweit im Einsatz
Produktbewertungen von Kollegen aus aller Welt
Diese Erfahrungen haben Anwender mit VITABLOCS gemacht.
VITABLOCS TriLuxe forte
Dr. Julio Gomez Paris,
Rosario, Argentinien, 07/22
Monolithische, zeiteffiziente Frontzahnversorgung mit VITABLOCS TriLuxe forte.
Dr. Mon Li und ZT Sally Hsieh,
CEREC Asia,
Taipeh, Taiwan, 11/18
Lebendige Frontzahnrekonstruktion aus polychromer Feldspatkeramik.
Dr. Önder Özdenkaya,
Zahnarzt und Zahntechniker,
Kocaeli, Türkei, 10/21
Fünf Veneers und eine Krone aus VITABLOCS TriLuxe forte in der Bleachfarbe 0M1.
Dr. Andrés Powditch,
Chile, 10/21
Ästhetische Restauration im Unterkiefer bei rotierten und gekippten Frontzähnen aufgrund eines fehlenden Schneidezahns.
VITABLOCS RealLife
Dr. Shoji Nakamura,
Zahnarzt,
Tokio, Japan, 09/18
Monolithische Einzelkrone in der ästhetischen Zone.
VITABLOCS Mark II
Dr. Jia Zhen,
Zahnarzt,
Chengdu, China, 10/21
Die ästhetische Rehabilitation des Ober- und Unterkiefers mit bleachfarbenen VITABLOCS Mark II aufgrund moderater Tetrazyklinverfärbungen.
Dr. Diego Bonaudo,
Zahnarzt,
Turin, Italien, 07/21
Nach kieferorthopädischer Behandlung wird die ästhetische Zone mit Veneers aus VITABLOCS Mark II rehabilitiert.
Dr. Oxana Naidyonova,
Zahnärztin,
Karaganda, Kasachstan, 07/21
Ein oberer Molar wird mit einem Overlay aus VITABLOCS Mark II rehabilitiert.
Dr. Julio Gomez Paris,
Zahnarzt & Zahntechniker,
Santa Fe, Argentinien, 07/21
Zahnfarbbestimmung, Blockauswahl und Charakterisierung für die passende Farbwirkung eines einzelnen Frontzahnveneers aus VITABLOCS Mark II.
Rafa Jaén,
Zahntechniker,
Barcelona, Spanien, 07/21
Die planbare Versorgung der ästhetischen Zone mit Veneers aus VITABLOCS Mark II mithilfe eines idealisierten Mock-ups.
Dr. Stas Belous,
Zahnarzt,
Uljaowsk, Russland, 07/21
Stark verfärbte, endodontisch behandelte Schneidezähne im Oberkiefer werden mit Kronen aus VITABLOCS Mark II rekonstruiert und erlangen dadurch eine natürliche Farbwirkung und Morphologie.
Dr. Ignatius Ronny Halim,
Zahnarzt,
Jakarta, Indonesien, 07/21
Frontzahnkronen aus VITABLOCS TriLuxe forte als hochästhetischer und langlebiger Ersatz für ausgedehnte Kompositversorgungen.
Spanien: VITABLOCS-Fall von Zahntechnikerin Bárbara Calero
Zahntechnikerin Bárbara Calero, Málaga, Spanien
„Bei suffizientem Schmelz verwende ich für meine hochästhetischen MY PERFECT MATCH-Restaurationen am liebsten polychrome VITABLOCS-Feldspatkeramik.“
Digitale Erfolgsgeschichte: Feldspatkeramik-Veneers in der ästhetischen Zone
Ausgangssituation
Aufgrund eines Traumas waren die Zähnen 11 und 21 mit Kompositaufbauten versorgt worden, die mittlerweile einige Jahre alt waren. Die Patientin war mit der Ästhetik der beiden Zähne unzufrieden, da ihr Farbe und Form nicht gefielen. Sie wollte diese deswegen schon seit einiger Zeit neu versorgen lassen.
Lösung
Nach Analyse der Frontzähne und der ästhetischen Zone wurde der Patientin vorgeschlagen, nicht nur die Zähne 11 und 21 restaurativ zu erneuern, sondern gleichzeitig auch die leicht nach palatinal gekippten Zähne 12 und 22, um ein besseres ästhetisches Gesamtergebnis zu erreichen. Die Behandlung wurde mit Hilfe eines Mock-up geplant und durchgeführt. Die Entscheidung fiel auf vier Veneers aus der hochästhetischen und polychromen Feinstruktur-Feldspatkeramik VITABLOCS TriLuxe forte 1M2.
Warum VITABLOCS TriLuxe forte
Wir haben VITABLOCS TriLuxe forte verwendet, weil in die Rohlinge schon ein natürlicher Chromagradient sowie leuchtende und fluoreszierende Effekte integriert sind. Im CAD-Design konnten die Veneers morphologisch bereits so gestaltet, wie es im analogen Wax-up geplant worden war. Dabei wurde auch die Makrotextur berücksichtigt, sodass nach dem Schleifen der Restaurationen aus Feinstruktur-Feldspatkeramik nur noch kleine Details der Mikrotextur eingearbeitet werden mussten. Nach der Ausarbeitung wurde nur noch minimal charakterisiert und glasiert. Mit VITABLOCS TriLuxe forte können mit minimalem Aufwand so absolut hochästhetische Restaurationen entstehen.
Mit Hilfe eines Mock-up wurde planvoll vorgegangen und minimalinvasiv präpariert.
Die minimalinvasive Präparation an 11 und 21 vor der Eingliederung der Veneers.
Der Schmelz wurde mit Phosphorsäure geätzt, um eine mikroretentive Oberfläche zu erhalten.
Die volladhäsive Eingliederung des Veneers an 21 mit VITA ADIVA F-CEM.
Der harmonisierte Zahnbogen in der Ansicht von lateral.
Mit VITABLOCS TriLuxe forte waren mit minimalem Aufwand hochästhetische Restaurationen entstanden.
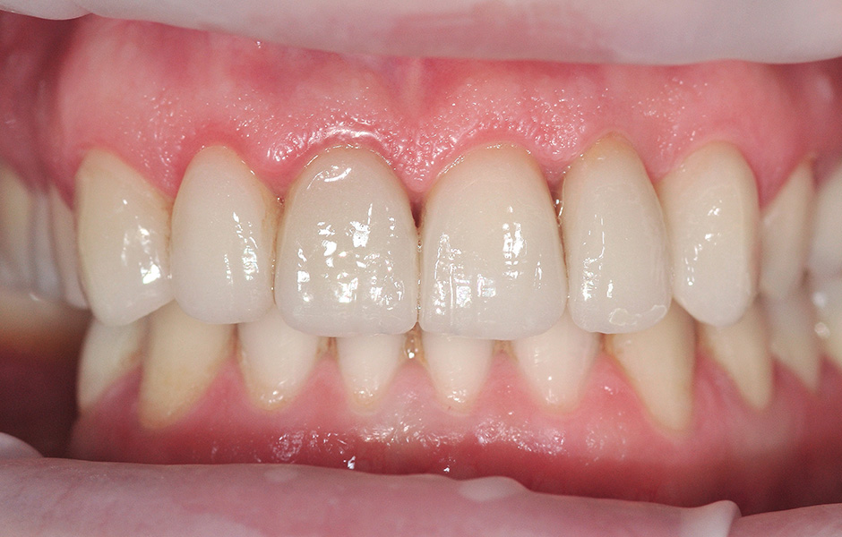
Argentinien: VITABLOCS-Fall von Dr. Gomez Paris
Dr. Julio Gomez Paris, Rosario, Argentinien
„Ich verwende VITABLOCS TriLuxe forte, um effizient eine natürliche Zahnästhetik zu erzielen.“
Eine Erfolgsgeschichte: Monolithische, zeiteffiziente Frontzahnversorgung mit bester Lichtdynamik
Ausgangssituation
Eine 72-jährige Frau wurde in der Praxis vorstellig, weil sie mit dem ästhetischen Erscheinungsbild ihrer Zähne nicht zufrieden war. Bei der klinischen Inspektion zeigten sich stark abradierte und erosiv geschädigte Frontzähne mit freiliegenden Wurzelbereichen.
Lösung
Anhand eines Wax-ups sollten geführte Gingivektomien zur Harmonisierung der Zahnfleischgirlande und kontrollierte Veneer-Präparationen im Frontzahnbereich durchgeführt werden. Das intraorale Mock-up und die Präparationen wurden jeweils gescannt und anhand dieser Informationen 12 Veneers aus der polychromen Feldspatkeramik VITABLOCS TriLuxe forte in der Farbe 1M2 konstruiert. Nach Ausarbeitung der Restaurationen war dank der Lichtdynamik und dem integrierten Farbverlauf mit nur minimalen Charakterisierungen ein hochästhetisches Ergebnis entstanden.
Warum VITABLOCS TriLuxe forte
Wir haben VITABLOCS TriLuxe forte verwendet, weil sich die Patientin zeiteffiziente CAD/CAM-gestützte Versorgungen wünschte, die ein natürliches Farb- und Lichtspiel aufweisen. Die polychrome VITABLOCS Variante verfügt über einen integrierten, feinnuancierten Farbverlauf und lässt sich dank ihrer Feinstrukturkeramik schnell und präzise verarbeiten. In der Designsoftware kann die Restauration im virtuellen Rohling so platziert werden, dass der Chromagradient patientenindividuell steuerbar ist.
Das Wax-up konnte intraoral mit einem Silikonschlüssel übertragen werden.
Zustand im Oberkiefer nach geführter Mock-up-Präparation.
Die gescannten Präparationen des Oberkiefers in der CAD-Software.
Die konstruierten Veneers im Ober- und Unterkiefer in der CAD-Software.
Die Veneers aus VITABLOCS TriLuxe forte nach der Eingliederung im Oberkiefer.
Die hochästhetische Rehabilitation nach der Eingliederung der Veneers im Unterkiefer.
Taiwan: VITABLOCS-Fall von Dr. Mon Li und ZT Sally Hsieh
Dr. Mon Li und ZT Sally Hsieh, CEREC Asia, Taipeh, Taiwan
„Der integrierte Farbverlauf in vier Intensitätsschichten ermöglicht ein natürliches Farb- und Lichtspiel in der ästhetischen Zone.“
Eine Erfolgsgeschichte: Lebendige Frontzahnrekonstruktion aus polychromer Feldspatkeramik
Ausgangssituation
Eine 20 Jahre alte Patientin war nach einer Wurzelkanalbehandlung mit der dunklen Verfärbung des ansonsten beschwerdefreien Zahns 11 unzufrieden. Röntgenologisch zeigte sich eine suffiziente Wurzelfüllung.
Lösung
Nach eingehender Beratung entschied sich die Patientin für eine zeiteffiziente, vollkeramische Kronenversorgung aus der polychromen Feldspatkeramik VITABLOCS TriLuxe forte, um Zahn 11 langfristig zu stabilisieren und den ästhetischen Erwartungen gerecht zu werden. Die ursprüngliche Morphologie sollte beibehalten werden und wurde deswegen vor der Präparation für die Konstruktion der Krone gescannt. Die präzise Bestimmung der Zahnfarbe des Nachbarzahns erfolgte mit dem VITA Easyshade V, um die passende Blockauswahl treffen zu können.
Warum VITABLOCS TriLuxe forte
Wir haben VITABLOCS TriLuxe forte verwendet, weil sich die Patientin in nur einer Sitzung eine hochästhetische und definitive Kronenversorgung in der ästhetischen Zone wünschte. Durch den integrierten Farbverlauf und das brillante Farb- und Lichtspiel des polychromen Feldspatkeramik-Rohlings konnten wir trotz des kleinen Zeitkorridors mit minimalen Charakterisierungen das gewünschte Ergebnis erzielen.
Mit dem Spektrofotometer VITA Easyshade V wurde die Zahnfarbe präzise bestimmt.
Die digital bestimmte Zahnfarbe 2M1 wurde mit dem entsprechenden Farbmusterstäbchen dokumentiert.
Die ursprüngliche Morphologie konnte für die Konstruktion der Krone übernommen werden.
Durch die Positionierung der Restauration im Block kann der Farbverlauf gesteuert werden.
Die fertige Krone auf dem Modell nach minimaler Charakterisierung mit VITA AKZENT Plus.
Das hochästhetische Ergebnis aus der Feldspatkeramik VITABLOCS TriLuxe forte.
Japan: VITABLOCS-Fall von Dr. Nakamura
Zahnarzt Dr. Shoji Nakamura, Tokio, Japan
„Durch die dreidimensionale Schichtstruktur von VITABLOCS RealLife kann der Farbverlauf von angrenzenden Inzisiven sehr gut reproduziert werden.“
Eine Erfolgsgeschichte: Monolithische Einzelkrone in der ästhetischen Zone
Ausgangssituation
Eine 67-jährige Patientin war unzufrieden mit der Zahnstellung und der Verfärbung des avitalen Zahns 11. Der Patientin wurde wegen der massiven Rotation eine kieferorthopädische Behandlung vor einer restaurativen Maßnahme empfohlen. Sie lehnte diesen Vorschlag trotz der invasiveren Präparation ab und wünschte sich sofort eine schnelle, kostengünstige und gleichzeitig ästhetische Versorgung.
Lösung
Eine Vollkronenversorgung sollte CAD/CAM-gestützt aus der polychromen Feldspatkeramik VITABLOCS RealLife hergestellt werden. Der Rohling verfügt über eine bogenförmige, dreidimensionale Schichtstruktur zwischen Dentin und Schneide und sorgt so durch entsprechende Lagerung beim Nesting für einen patientengerechten Farbverlauf. Die Grundzahnfarbe 3M2 wurde mit dem Spektrofotometer VITA Easyshade V präzise bestimmt und im Blockmodus der am besten geeignete Rohling für den digitalen Workflow vorgeschlagen. Vor der Präparation wurde Zahn 11 erfolgreich wurzelkanalbehandelt.
Warum VITABLOCS RealLife?
Wir haben die Feldspatkeramik VITABLOCS RealLife verwendet, weil wir mit einer präzisen Zahnfarbbestimmung eine farbtreue Blockauswahl treffen konnten. Durch die abgestimmte virtuelle Positionierung der Restauration in der dreidimensionalen Schichtstruktur von VITABLOCS RealLife konnte der Farbverlauf der angrenzenden Inzisiven bereits solide reproduziert werden. Mit den Malfarben VITA AKZENT Plus wurden so nur noch die letzten Nuancen charakterisiert.
Die im Blockmodus von VITA Easyshade V ermittelte Zahnfarbe war 3M2.
Im Rahmen der Präparation wurde die Rotation ausgeglichen.
Nach dem intraoralen Scan wurde die Form der Krone virtuell konstruiert.
VITABLOCS RealLife wurde auf der Präparation positioniert.
Der dreidimensionale Farb- und Transluzenzverlauf wurde optimal eingestellt.
Mit den Malfarben VITA AKZENT Plus wurde die Krone individuell charakterisiert.
Türkei: VITABLOCS-Fall von Dr. Özdenkaya
Dr. Önder Özdenkaya, Zahnarzt und Zahntechniker, Kocaeli, Türkei
„Ich gebe VITABLOCS fünf Sterne, weil ich es schon seit 2011 mit großer Freude erfolgreich verwende und bei jedem Fertigungsschritt die volle Kontrolle habe. Auch meine Kunden sind sehr zufrieden mit der Ästhetik der VITABLOCS.“
Eine Erfolgsgeschichte: VITABLOCS TriLuxe forte in der Bleachfarbe 0M1
Ausgangssituation
Unser Patient war unzufrieden mit der Farbe und Form seiner Frontzähne im Oberkiefer. Vor allem Zahn 22 zeigte sich nach Wurzelkanalbehandlung stark verfärbt und war mit einer insuffizenten Kompositfüllung versorgt. Fotodokumentation und Digital Smile Design machten deutlich: Der schmale und nach palatinal geneigte Zahnbogen der Frontzähne harmonierte nicht mit dem buccalen Korridor. Die Stellung der Zahnachsen war irregulär.
Lösung
Im Digital Smile Design wurden alle ästhetischen Parameter virtuell optimiert und auf dieser Basis ein intraorales Mock-up hergestellt. Nach abschließender Diskussion mit dem Patienten erfolgte eine geführte Mock-up-Präparation von 13 auf 23, um so minimalinvasiv wie möglich zu sein und für einen optimalen adhäsiven Verbund im Schmelz zu verbleiben. Auch die Zahnachsen wurden im Rahmen der Präparation korrigiert. Anschließend erfolgte die CAD/CAM-gestützte Fertigung von fünf Veneers und einer Krone an 22. VITABLOCS TriLuxe forte wurde in der Bleachfarbe 0M1 ausgewählt, um dem Wunsch des Patienten nach möglichst hellen Zähnen zu erfüllen.
Warum VITABLOCS TriLuxe forte?
Wir haben uns für das polychromatische und bleachfarbene VITABLOCS TriLuxe forte 0M1 entschieden, um den hohen ästhetischen Erwartungen des Patienten gerecht zu werden. Die monolithische Fertigung im digitalen Workflow ermöglichte trotz der Korrektur der Zahnachsen einen minimalinvasiven Substanzabtrag während der Präparation.
Ausgangssituation mit dunkler Zahnfarbe und irregulären Zahnachsen.
Das Mock-up simulierte die definitiven Restaurationen funktionell und ästhetisch.
Minimalinvasive Präparationen dank Mock-up und monolithischer Fertigung aus VITABLOCS TriLuxe forte.
Fünf Veneers und eine Krone unmittelbar nach dem digitalen Workflow.
Gerade beim volladhäsiven Einsetzen wurden die irregulären Zahnachsen noch einmal deutlich.
Das helle restaurative Rekonstruktionsergebnis mit bleachfarbenem VITABLOCS TriLuxe forte 0M1.
Chile: VITABLOCS-Fall von Dr. Powditch
Dr. Andrés Powditch, Chile
„Ich arbeite mit VITABLOCS, weil es seit 1985 das ästhetischste
und zuverlässigste CAD/CAM-Material ist. Um Farbe und Transluzenz richtig zu treffen, ist VITABLOCS Triluxe forte zweifellos das beste CAD- CAM-Material für dieses Problem.”
Eine Erfolgsgeschichte: Veneers und Kronen aus VITABLOCS TriLuxe forte
Ausgangssituation
Ein Patient, der seinen Lebensmittelpunkt nicht in Chile hatte, wurde in der Zahnarztpraxis vorstellig, weil ihn das ästhetische Erscheinungsbild seiner Frontzähne im Unterkiefer störte. Der Schneidezahn 32 war verloren gegangen, worauf die Zähne 31 und 33 kippten und rotierten. Auffällig war die fortgeschrittene Rezession an 31 und die lokale Parodontitis. Kieferorthopädie lehnte der Patient ab. Er bestand auf eine schnelle restaurative Versorgung.
Lösung
Nach einer Zahnreinigung wurde ein dreidimensionales Röntgenbild (DICOM) erstellt und mit einem Intraoralscan virtuelle Modelle einzeln und in Okklusion (STL) generiert. Beide Datensätze wurden gematcht, um im Rahmen des CEREC Smile Design und der daraus resultierenden Konstruktion das Knochenniveau und das Zahnweichgewebe zu berücksichtigen. Die Versorgungen von 42 und 41 mit Veneers sowie 33 und 31 mit Kronen aus VITABLOCS TriLuxe forte sollte auf dieser virtuellen Planungsbasis in einer Sitzung die Unterkieferfront nivellieren.
Warum VITABLOCS TriLuxe forte?
Die Feldspatkeramik VITABLOCS TriLuxe forte war für diesen Fall die richtige Wahl, weil es sich um das überragende CAD/CAM-Material handelt, wenn es um exakt passende Farbe und Transluzenz geht. Das Malfarben- und Glasursystem VITA AKZENT Plus sorgte für patientengerechte Individualität. Im Praxislabor gefertigt, konnten die vier Restaurationen in nur einer Sitzung adhäsiv eingegliedert werden.
Durch den fehlenden Frontzahn 32 war es im Unterkiefer zu Kippungen gekommen.
Da eine lokale Entzündung vorlag wurde initial eine Zahnreinigung durchgeführt.
Der Unterkiefer wurde gescannt und ein virtuelles Modell generiert.
Virtueller Ober- und Unterkiefer in Artikulation beim CEREC Smile Design.
Anhand des CEREC Smile Design konnten die Restaurationen konstruiert werden.
Eingegliederte Restaurationen aus VITABLOCS TriLuxe forte an 33, 31, 41 und 42.
China: VITABLOCS-Fall von Dr. Jia Zhen
Dr. Jia Zhen, Zahnarzt, Chengdu, China, 10/21
„Ich verwende VITABLOCS seit 8 Jahren erfolgreich! Die ästhetischen Restaurationen sorgen effizient und zuverlässig für ein zufriedenes Lächeln auf den Gesichtern meiner Patienten. Ich hatte bisher noch keinen einzigen unzufriedenen Patienten.”
Eine Erfolgsgeschichte: Veneers aus VITABLOCS Mark II Bleach
Ausgangssituation
Eine junge Patientin zeigte generell moderate Tetrazyklinverfärbungen und freiliegende Zahnhälse sowie abradierte Inzisalkanten an den mittleren Schneidzähne im Oberkiefer. Alle Zähne erwiesen sich nach der klinischen und röntgenologischen Diagnostik als vital, parodontal unauffällig und beschwerdefrei. Die Patientin wünschte sich eine helle Rekonstruktion des sichtbaren Zahnbereichs.
Lösung
Die Patientin wurde nach entsprechender Präparation mit 16 minimalinvasiven Veneers aus bleachfarbenen VITABLOCS MARK II versorgt, die eine Schichtstärke von 0,8 bis 0,9 mm und keine funktionellen Kontakte aufwiesen.
Warum VITABLOCS Mark II?
VITABLOCS haben eine lebendige Farbwirkung und sind trotzdem in der Lage Verfärbungen zu maskieren. Das Farbsortiment ist vielfältig und ermöglicht die passende Blockauswahl. Die Oberflächentextur ähnelt dem natürlichen Zahnschmelz. Mit VITABLOCS können Zahnärzte und Zahntechniker den unterschiedlichen Bedürfnissen der Patienten vorhersagbar gerecht werden.
Italien: VITABLOCS-Fall von Dr. Bonaudo
Dr. Diego Bonaudo, Zahnarzt, Turin, Italien, 07/21
„Seit 2000 vertraue ich auf VITABLOCS. Ich gebe VITABLOCS aufgrund der Langzeitstabilität und der hervorragenden ästhetischen und biomechanischen Eigenschaften fünf Sterne. Die Nachuntersuchungen meiner Fälle haben die Langlebigkeit des Materials bewiesen.”
Eine Erfolgsgeschichte: Frontzahn-Veneers aus VITABLOCS Mark II
Ausgangssituation
Eine Patientin mit ausgeprägter Malokklusion zeigte einen unregelmäßigen Verlauf der Inzisalkanten und der marginalen Gingiva. Die mittleren oberen Schneidezähne waren frakturiert und verfärbt.
Lösung
Der Kreuzbiss wurde zunächst mit Invisalign behandelt. Nach einer Mock-up-Simulation wurde mit dem Laser eine minimalinvasive Gingivektomie zur Harmonisierung der Gingivagirlande und die Präparation durchgeführt. Die ästhetische Zone der Patientin wurde abschließend in einer einzigen Chairside-Sitzung mit Veneers aus VITABLOCS MARK II rehabilitiert.
Warum VITABLOCS Mark II?
Aufgrund der präzisen Randbereiche nach dem Herausschleifen und der natürlichen Transluzenz der definitiven Restaurationen verwende ich VITABLOCS Mark II.
Kasachstan: VITABLOCS-Fall von Dr. Naidyonova
Dr. Oxana Naidyonova, Zahnärztin, Karaganda, Kasachstan, 07/21
„Mit CEREC und VITABLOCS kann ich ästhetische Chairside-Restaurationen ganz einfach in einer Sitzung herstellen. Ich liebe die VITABLOCS wegen ihrer leuchtenden, natürlichen Farbe, der einfachen Anwendung und der hohen Ästhetik.”
Eine Erfolgsgeschichte: Overlay mit VITABLOCS Mark II
Ausgangssituation
Ein junger Patient, 25 Jahre alt, klagt über eine defekte alte Füllung an dem oberen Molaren 27.
Lösung
Die alte Füllung wird entfernt, Sekundärkaries exkaviert, eine endodontische Revision durchgeführt und der Zahn mit einem vollkeramischen Overlay aus VITABLOCS Mark II versorgt.
Warum VITABLOCS Mark II?
Wir haben uns für VITABLOCS Mark II entschieden, weil die schmelzähnliche Abrasion im klinischen Langzeitverlauf funktionell mit dem natürlichen Antagonisten harmoniert.
Argentinien: VITABLOCS-Fall von Dr. Gomez Paris
Dr. Julio Gomez Paris, Zahnarzt & Zahntechniker, Santa Fe, Argentinien, 07/21
„VITABLOCS sind mein bevorzugter Block, nicht nur wegen seiner seit vielen Jahren bewährten Qualität, sondern weil er mir die besten ästhetischen und optischen Ergebnisse wie Transluzenz und zahnähnliche Fluoreszenz bietet.”
Eine Erfolgsgeschichte: Frontzahn-Veneer aus VITABLOCS Mark II
Ausgangssituation
Eine junge Patientin in den Zwanzigern mit einer posttraumatischen Verfärbung des rechten oberen mittleren Schneidezahns.
Lösung
Um eine perfekte Ästhetik zu erreichen, wurden bei der Blockauswahl nicht nur die gewünschte Farbe des gesunden zentralen Nachbarzahns, sondern auch die Verfärbungen der präparierten Zahnoberfläche berücksichtigt. Nach dem Scan der minimalinvasiven Präparation wurde ein monolithisches Veneer aus VITABLOCS Mark II 0M1 konstruiert und herausgeschliffen.
Warum VITABLOCS Mark II?
Aufgrund der integrierten natürlichen Ästhetik sowie der zahnähnlichen Transluzenz und Fluoreszenz der VITABLOCS-Feldspatkeramik erzielen wir beste monolithische Ergebnisse im digitalen Workflow. In diesem Fall haben wir einen 0M1-Block genutzt, um die dunkle Farbe des präparierten Zahns zu kompensieren. Wir haben uns für VITABLOCS Mark II entschieden, da diese Farbe für VITABLOCS TriLuxe forte zu diesem Zeitpunkt noch nicht verfügbar war.
Spanien: VITABLOCS-Fall von Rafa Jaén
Rafa Jaén, Zahntechniker, Barcelona, Spanien, 07/21
„Ich gebe VITABLOCS fünf Sterne, weil der CAD/CAM-Prozess mit der Feldspatkeramik vorhersagbar und praktikabel ist. Das erleichtert meine tägliche Arbeit. Seit 2013 sind VITABLOCS mein bevorzugtes Material für schmelzbegrenzte Restaurationen. Ich erreiche damit die perfekte Farbwirkung und schenke den Patienten so ein natürliches Lächeln.”
Eine Erfolgsgeschichte: Veneers aus VITABLOCS Mark II
Ausgangssituation
Eine junge Patientin zeigte nach kieferorthopädischer Behandlung Verfärbungen, Risse und insuffiziente konservierende Versorgungen in der ästhetischen Zone. Die mittleren Schneidezähne wirkten zu kurz.
Lösung
Die Patientin wurde mit zehn minimalinvasiven Veneers aus VITABLOCS MARK II versorgt. Die Planung der Restaurationen erfolgte mit einem idealisierten Wax-up, das als Mock-up in den Patientenmund überführt und überprüft wurde. Die Herstellung der endgültigen Restaurationen wurde so vorhersagbar und unkompliziert.
Warum VITABLOCS Mark II?
VITABLOCS wurde für diesen Veneerfall ausgewählt, da die Patientin damit im digitalen Workflow minimalinvasiv im Schmelzbereich versorgt werden konnte.
Russland: VITABLOCS-Fall von Dr. Belous
Dr. Stas Belous, Zahnarzt, Uljaowsk, Russland, 07/21
„Ich gebe den VITABLOCS 5 Sterne, da die Arbeit damit einfach und das Ergebnis vorhersehbar ist. In nur 2-3 Stunden lässt sich eine Restauration herstellen. Die realistische, natürliche Ästhetik macht insbesondere bei der Arbeit im Frontzahnbereich Spaß!"
Eine Erfolgsgeschichte: Kronen aus VITABLOCS Mark II
Ausgangssituation
Eine junge Patientin präsentierte bei ihrer Vorstellung verfärbte, avitale Schneidezähne mit insuffizienten Kompositfüllungen im Oberkiefer.
Lösung
Zunächst wurde eine endodontische Behandlung der Zähne 11, 12, 21, 22 durchgeführt und diese mit Glasfaserstiften und Kompositaufbauten stabilisiert. Anschließend wurden die natürlichen Zähne durch ein Bleaching aufgehellt. Nach Wax-up und entsprechender Mock-up-Präparation wurden die Zahnstümpfe intraoral gescannt und provisorische VITA CAD-Temp-Kronen CAD/CAM-gestützt gefertigt, um die Form und Funktion der geplanten Keramikrestaurationen zu simulieren. Die permanenten Keramikkronen wurden nach erfolgreichem Probetragen monolithisch aus der Feldspatkeramik VITABLOCS Mark II im digitalen Workflow gefertigt.
Warum VITABLOCS Mark II?
VITABLOCS Mark II haben eine ausgeprägte Helligkeit und gleichzeitig eine gute Deckkraft, was für die Arbeit an avitalen und verfärbten Zähnen unerlässlich ist. Dank der optischen Eigenschaften lässt sich der Zahn naturgetreu rekonstruieren.
Indonesien: VITABLOCS-Fall von Dr. Halim
Dr. Ignatius Ronny Halim, Zahnarzt, Jakarta, Indonesien, 07/21
„Durch die breite Farbauswahl der einfarbigen oder mehrfarbigen Blöcke erziele ich immer das passende Ergebnis. 5 Sterne, denn die VITABLOCS liefern ein natürliches, ästhetisches Ergebnis und sind ein zuverlässiges und preiswertes Material. Meine Patienten sind mit der natürlichen Ästhetik und der Langlebigkeit der VITABLOCS sehr zufrieden.”
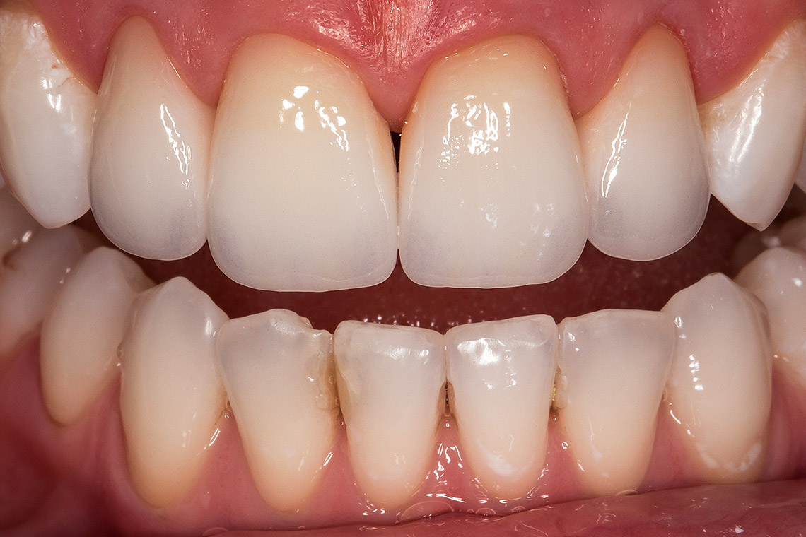
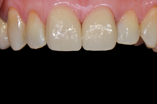
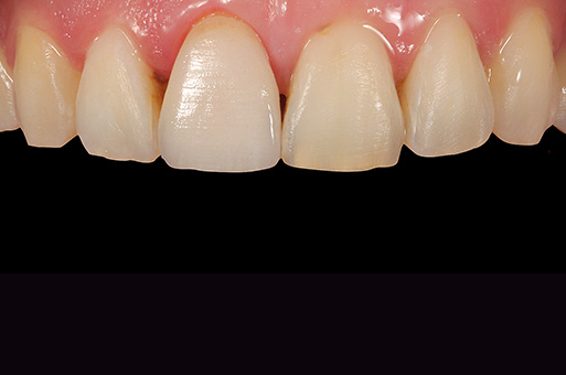
Eine Erfolgsgeschichte: 2-gliedrige Frontzahnkronenrestauration mit VITABLOCS TriLuxe Forte
Ausgangssituation
Ein Patient wurde mit sechs Jahre alten, stark abradierten und durch die tägliche Reinigung ausgewaschenen Kompositversorgungen an 11 und 21 vorstellig. Die Schneidezähne sollten deswegen vollkeramisch rekonstruiert und der inzisale Substanzverlust nachhaltig gestoppt werden.
Lösung
Zunächst wurde ein intraorales Mock-up aus Komposit angefertigt, um das geplante Endergebnis am Patienten zu simulieren. Das Mock-up wurde zwei Tage lang probegetragen. Der Patient zeigte sich mit Form und Funktion einverstanden, sodass die beiden Zähne durch das Mock-up präpariert, intraoral gescannt und definitive Kronen aus VITABLOCS TriLuxe forte monolithisch gefertigt und adhäsiv eingegliedert werden konnten.
Warum VITABLOCS TriLuxe Forte?
Die Entscheidung als Restaurationsmaterial fiel auf die polychromatische Feldspatkeramik VITABLOCS TriLuxe forte. Dank des integrierten Farbverlaufs entstanden hochästhetische, monolithische Restaurationen, die mit der natürlichen Zahnhartsubstanz harmonierten. Die VITABLOCS-Feldspatkeramik gewährleistete Langzeitstabilität und schmelzähnliche Abrasionseigenschaften. Die Restaurationen befinden sich inzwischen seit sechs Jahren komplikationsfrei und abrasionsstabil im Mund des Patienten.