Il était satisfait des dents artificielles VITA MFT, fidèles à la nature, mais pendant longtemps il n'a pas aimé l'aspect de la base prothétique. Boris Jovanovic (Belgrade, Serbie) voulait donc tout savoir sur les variations de l'anatomie muco-gingivale, la comprendre de fond en comble, afin de pouvoir la reproduire de manière absolument naturelle dans ses travaux de prothèse amovible partielle et totale. Il a analysé d'innombrables photographies intra-orales afin d'en assimiler les caractéristiques anatomiques, et a en outre étudié une quantité importante de littérature spécialisée afin d'en découvrir la structure anatomique de l'intérieur. Pendant des années, il a ensuite expérimenté pour mettre en œuvre ses découvertes dans la cire. Aujourd'hui, il a mis au point sa propre procédure pour créer rapidement et avec précision l'esthétique rouge dans la cire. Il travaille pour cela avec des instruments qu'il a lui-même modifiés. Dans l'entretien suivant, il donne de rares aperçus de son art et explique pourquoi la VITA MFT convient si bien à ses reproductions muco-gingivales.
Un environnement réaliste pour VITA MFT : la galerie d'art mucogingivale de Boris Jovanovics
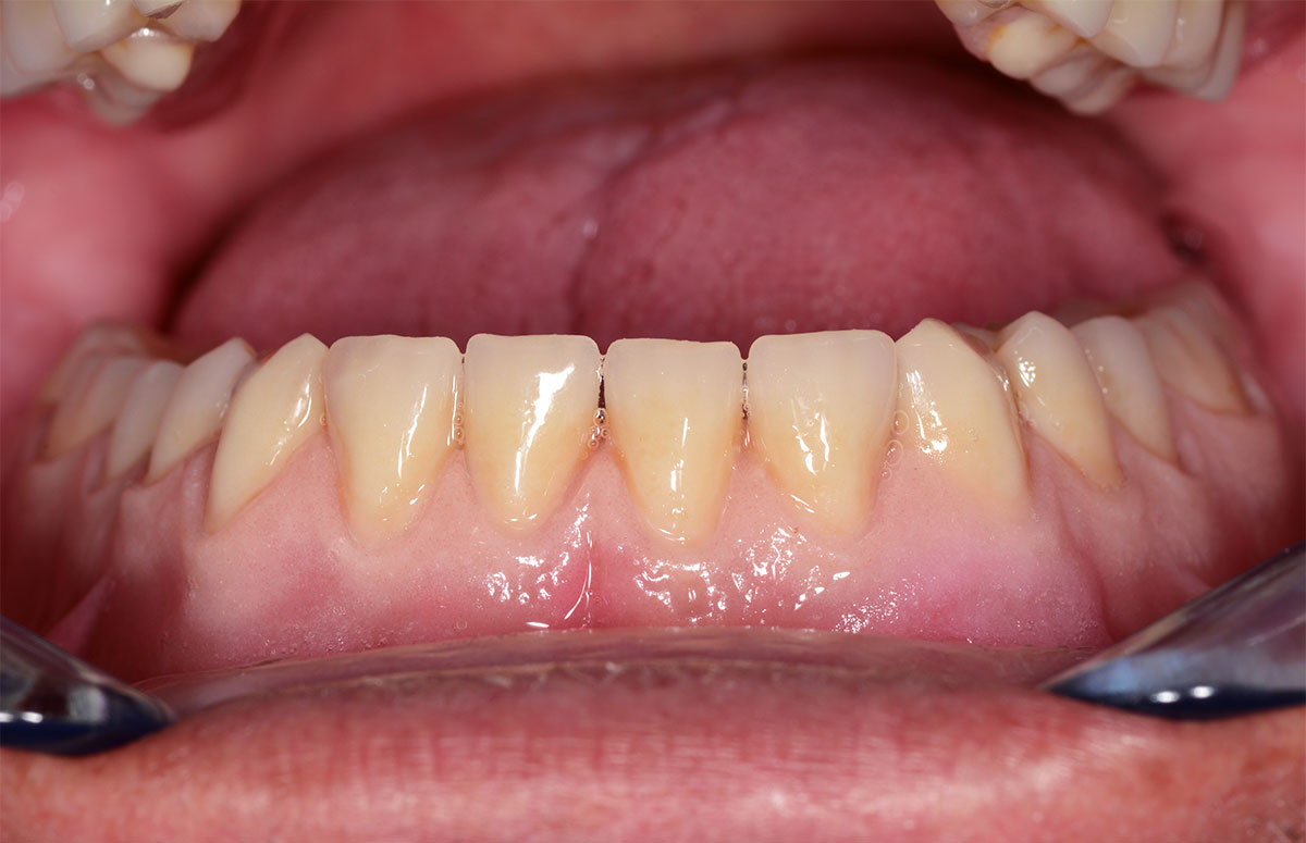
Quelles sont les caractéristiques de l'anatomie muco-gingivale naturelle et pourquoi est-il si important de la reproduire individuellement pour chaque patient ?
L'anatomie muco-gingivale se compose des papilles interdentaires, des liserés gingivaux, de la gencive attachée, des sillons interradiculaires, de la limite muco-gingivale, des ligaments des joues et des lèvres, et se termine par la ligne de réflexion de la muqueuse. Une question m'a été posée un nombre incalculable de fois par des dentistes et des prothésistes dentaires concernant la reproduction muco-gingivale : pourquoi fabriquer des prothèses avec tous ces détails si personne ne les voit lorsque le patient parle ou sourit ? La réponse est simple : c'est le patient qui le voit. Les patients remarquent tous ces détails et l'effort que quelqu'un a fourni.
Comment les patients réagissent-ils à l'un de vos travaux ? Des effets positifs sont-ils perceptibles après l'insertion ?
Ils apprécient que l'on ait reconstruit quelque chose qu'ils avaient autrefois, mais qui a malheureusement été perdu. Cela a un effet psychologique positif sur les patients et contribue à ce que les prothèses amovibles ne soient plus un sujet tabou. Au moment où les patients retirent la prothèse de leur bouche pour la nettoyer, ils ne voient pas seulement un morceau de plastique comme symbole du vieillissement. Ils ne voient pas seulement quelque chose qui les aide à exécuter des fonctions de base. Ils voient quelque chose de personnel qu'ils peuvent accepter beaucoup plus facilement, qui les aide à reprendre confiance en eux. Les patients recommencent à sourire, ce qui améliore leur qualité de vie.
Vous ne révélez généralement le secret de votre modelage en cire rapide et naturel que lors de vos cours. Pouvez-vous nous donner des indications sur ce qui est important ?
Si nous voulons imiter quelque chose, nous devons le comprendre. Dans ce cas, c'est la nature qui est notre plus grand maître ! En fait, c'est très simple, nous apprenons la plupart des choses à l'école professionnelle. La forme de l'anatomie saine de la mâchoire doit être reproduite. Pour le modelage de la cire, je commence par utiliser un peu plus de cire afin d'avoir suffisamment de matière à sculpter. C'est vraiment ce que je fais pour être à la hauteur de mes idées (rires). Je commence par réduire la cire au niveau du collet de la dent, ce qui me permet de déterminer la hauteur de la couronne clinique et la forme du liseré gingival.
Exceptionnellement, pouvez-vous nous donner plus de détails fondamentaux sur votre modelage en cire ? Par exemple, comment procédez-vous pour la gencive attachée ?
Je fais ressortir la gencive attachée en réduisant la cire dans la zone de la gencive libre et en faisant ressortir la zone de transition muco-gingivale. Lors de cette étape de travail, je mets également en valeur les prolongements alvéolaires. Il faut savoir que ceux-ci ne sont jamais rectilignes et que nous devons nous orienter en fonction de l'axe de la dent et de la longueur de la racine. Dans la partie antérieure, les canines ont la racine la plus forte, ce qui explique qu'elle soit plus dominante que celle des incisives, surtout en comparaison avec les racines plus fines des incisives latérales. La forme concave de la muqueuse alvéolaire mobile n'est pas seulement importante pour des raisons esthétiques, elle favorise également la stabilité de la prothèse dentaire.
Par quoi terminez-vous votre modelage biomimétique en cire ? Quels sont les aspects à prendre en compte en ce qui concerne les couleurs avant la mise en œuvre en résine ?
Le granité de la gencive n'est présent que sur la gencive attachée. Enfin, je modélise la gencive marginale et les petits volumes à l'aide d'un couteau à cire électronique. Lors de la mise en œuvre en résine, il est important d'individualiser en fonction de l'appartenance ethnique. J'ai remarqué que la gencive attachée des patients caucasiens est toujours plus claire – donc rose clair – que la muqueuse mobile, qui est rose rougeâtre. En outre, il existe un pourcentage important de patients présentant une pigmentation gingivale et une répartition différente de la mélanine. Ici aussi, la couleur doit être déterminée afin d'imiter l'effet de la couleur de manière adaptée au patient.
Comment procédez-vous pour la mise en œuvre en résine afin d'obtenir ici la texture de surface souhaitée et différentes nuances de couleur à la base de la prothèse ?
Toute la « magie » commence – comme décrit précédemment – dans la cire. Je transfère la cire en acrylique de manière conventionnelle, en mettant les prothèses en moufle avec du plâtre de classe III. Avant de remplir la contre-partie, j'étale délicatement le plâtre sur toute la surface de la prothèse à l'aide d'un pinceau. Je peux ainsi être sûr que le plâtre pénètre dans les détails les plus fins. Après avoir rincé les moufles et isolé toute la surface du plâtre, je poursuis la caractérisation interne des résines en utilisant la technique du sel et du poivre.
Ça a l'air passionnant ! Qu'entendez-vous exactement par la technique du sel et du poivre ? Comment procédez-vous ?
Dans un premier temps, j'applique du rose clair jusqu'à la limite muco-gingivale visible. Il s'ensuit le remplissage des négatifs des petits volumes avec du rose clair. Des détails comme le rouge profond, le violet, le bleu, l'orange ou le jaune peuvent être ajoutés en petites portions à l'aide d'un petit pinceau. Après la coloration, la résine de base est insérée avec précaution, en veillant à ne pas endommager les caractérisations. Le bourrage et la finition se font de manière habituelle. Comme la surface vestibulaire des prothèses est fabriquée par couches successives, il n'est pas recommandé de la meuler. Je la scelle simplement avec de la glaçure photopolymérisable.
Pourquoi la VITA MFT s'intègre-t-elle si bien dans l'environnement muco-gingival que vous avez créé ? Pourquoi la gencive peut-elle être modelée de manière optimale autour de la dent artificielle ?
Je travaille depuis 23 ans comme prothésiste dentaire et j'ai pu tester de nombreuses marques et plaquettes au cours de cette période. Lorsque nous parlons de dents prothétiques, je voudrais mettre en avant les dents VITA MFT. Ce sont des dents multifonctionnelles qui soutiennent tout concept d'occlusion linguale et équilibrée. Travailler avec VITA MFT est simple et amusant. J'en aime particulièrement l'esthétique. Les parties dentine et émail offrent un bel équilibre. Le tiers incisif présente une composition naturelle de translucidité et de mamelons sous-jacents. La VITA MFT offre un bon choix de belles formes de différentes tailles, la texture est accentuée juste comme il faut. La largeur et la forme des collets dentaires facilitent la création d'une gencive d'aspect naturel.