Français

Pose de facettes mini-invasive avec la céramique hybride VITA ENAMIC multiColor

Dr Andreas Kurbad
Dentiste, Viersen, Allemagne 


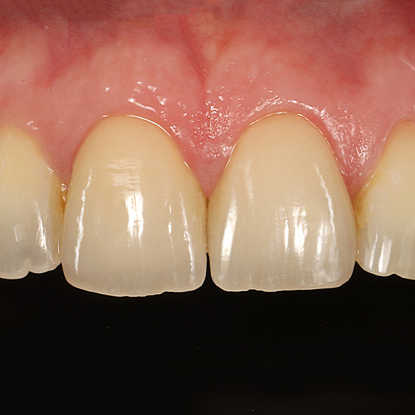
Les corrections esthétiques à facettes doivent être mini-invasives et limitées à l'émail dentaire. Malgré la faible épaisseur des couches, elles doivent révéler un jeu de lumière et de couleur naturel dans la bouche. Le bloc en céramique hybride CFAO multichromatique VITA ENAMIC multiColor offre un dégradé de couleur et de translucidité intégré en six couches finement étagées. L'apparence naturelle de la dent peut ainsi quasiment être obtenue d'une simple pression sur un bouton. Une caractérisation avec des colorants est alors, le plus souvent, superflue. La structure à double réseau polymère-céramique de la céramique hybride permet d'obtenir des parois de faible épaisseur jusqu'à 0,2 mm avec une arête très stable. Dans le présent rapport, Dr Andreas Kurbad rend compte des meilleures conditions préalables pour le traitement des deux incisives centrales maxillaires.

Pose de facettes mini-invasive : Situation initiale vs. résultat final

Résultat : Le tracé des incisives a été harmonisé avec le dessin des lèvres. Sous l'effet de l'érosion & l'abrasion, les incisives ont perdu de la longueur entraînant la perte de la morphologie.

Votre curiosité a-t-elle été piquée ? Poursuivez donc votre lecture ici :

Aperçu des exemples de cas cliniques

Appuyer sur le bouton « Esthétique »

Efficacité en termes de temps : traitement en une réunion